Studio Dentistico Dr. Marrapodi

Paziente donna anni 61
Trattamento: Trattamento ortodontico e faccette estetiche 11;21

Paziente anni 60 Frattura 1.3
Estrazione radice, riabilitazione implanto protesica

Paziente anni 51 disturbi articolari ed evidenti problemi estetici.
Trattamento: Terapia gnatologica riabilitazione protesica entrambe le arcate

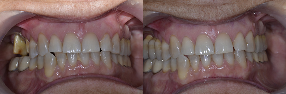
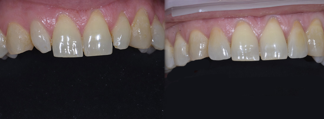
Paziente di anni 70 chiede soluzione per inestetismo dovuto a usura del gruppo frontale superiore.
La paziente ha un budget limitato. Viene eseguita una TENS per stabilire la giusta dimensione verticale. Si sostituiscono i denti sul suo scheletrato inferiore per ottenere il rialzo voluto e si preparano 5 corone in disilicato sugli elementi 11;12;21;22;23

Maria, anni 20.
Frattura coronale 1.1; 2.1. Il caso è stato trattato con faccette 1.1; 2.1

Paziente L. di anni 26 inviata da collega ortodontista.
Agenesia 12 e anomalia di forma 22. Trattata con protesi adesiva

A. si è rivolta da noi non soddisfatta della resa estetica di due faccette in composito che le erano state applicate per chiudere un diastema.
Abbiamo così sostituito i pre esistenti manufatti con due faccette in disilicato (dalla resa estetica migliore), riscontrando la piena soddisfazione A.

A. di 25 anni.
Ha subito una frattura degli incisivi superiori a causa di un trauma pregresso. Sono state applicate le faccette in disilicato sugli elementi interessati.

Paziente di 40 anni.
Paziente di 40 anni con perdita del 21, è stato eseguito un impianto post estrattivo immediato e intervento di chirurgia gengivale per aumento di spessore della gengiva aderente sul dente interessato.

Paziente anni 25.
Frattura coronale 2.1. Trattata con corona in ceramica integrale 2.1

Paziente anni 40
Ricostruzione per frattura 2.1 sostituita con faccetta in ceramica 2.1

Paziente anni 57
Edentulia 2.5. Trattato con impianto e corona 2.5

Paziente anni 60.
Riabilitazione protesica su denti naturali.
Paziente anni 56.
Rimozione e rifacimento ponte denti 15; 16; 17


Paziente maschio anni 45
Alla prima visita presenta numerosi residui radicolari. Si procede all’estrazione dei residui radicolari, si decide di estrarre anche i pochi elementi rimanenti. Si decide riabilitazione arcata superiore con 6 impianti e 12 elementi

La richiesta della paziente era di chiudere gli spazi che si sono creati per problemi parodontali e mancanza degli elementi posteriori.
Dopo trattamento parodontale il caso è stato risolto con 4 faccette in ceramica 1.1 ; 1.2 ; 2.1 ; 2.2

Paziente anni 42 si presenta in studio per risoluzione problema estetico dovuto all’anomalia di forma degli elementi 1.2;2.1
Il caso è stato risolto con l’applicazione di 2 faccette in ceramica sugli elementi indicati
© 2021. Iscrizione Albo Provinciale degli Odontoiatri di Roma n°4596 - P.I. 08465320581
Declino Responsabilità | Privacy | Cookie Policy